Inteligência Artificial para
Diagnóstico Odontológico
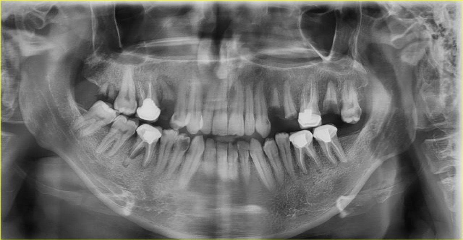
Primeira triagem automatizada com identificação de cáries, estruturas anatômicas e sugestão de planos de tratamento. Um super poder para dentistas tomarem decisões mais rápidas e precisas.
SCANNING.....



Do Upload ao Diagnóstico em Segundos
Nosso fluxo de trabalho simplificado permite que você foque no que importa: o paciente.
1. Upload do Exame
Envie radiografias panorâmicas ou periapicais através de nossa plataforma segura e criptografada (HIPAA/LGPD).
2. Análise via IA
Nossos modelos de visão computacional processam a imagem, identificando patologias e anatomia em tempo real.
3. Diagnóstico Visual
Receba um dashboard interativo com heatmaps, níveis de confiança e sugestões de tratamento para validar.
Capacidades Clínicas Avançadas
A IA foi treinada com milhões de imagens para detectar sutilezas que podem passar despercebidas na primeira triagem.
Detecção de Cáries
Identificação precisa de lesões cariosas iniciais e avançadas com classificação de severidade.
Anatomia & Dentes
Numeração automática (FDI/Universal), reconhecimento de coroas, implantes e dentes ausentes.
Endodontia & Periapical
Detecção de lesões periapicais, tratamentos de canal e visualização da integridade pulpar.
Score de Confiança
Cada achado clínico acompanha um percentual de confiança da IA (Confidence Score) para apoiar sua decisão.
Interatividade Total
Zoom, Pan e isolamento de regiões. O relatório não é estático, é uma ferramenta de investigação.
Relatórios para Pacientes
Gere PDFs visuais e didáticos que ajudam a explicar o tratamento e aumentar a aceitação.
Não é apenas diagnóstico.
É uma ferramenta de crescimento.
Aumente a Aceitação de Tratamentos
Pacientes confiam no que veem. A visualização clara da IA elimina dúvidas e tangibiliza o problema.
Triagem de Leads Automática
Use a IA no seu site para oferecer uma pré-análise e captar leads qualificados para sua clínica.
Padronização Clínica
Garanta que todos os dentistas da sua rede sigam o mesmo padrão de excelência diagnóstica.
Pronto para modernizar sua radiologia?
Junte-se a clínicas inovadoras que estão usando o I-ORAL Vision AI para transformar a experiência do paciente.
